Cirurgia de prótese total do joelho - Dr Gustavo Langen Agende Sua Consulta

Cirurgia de prótese total do joelho

O que é a cirurgia de prótese ou artroplastia de joelho?

Se trata de um procedimento de substituição articular, indicado em casos graves e avançados de artrose, onde iremos substituir as estruturas do joelho que estão desgastadas e sem cartilagem, por componentes metálicos e de polietileno (plástico super resistente), especialmente projetados para restaurar a função do joelho.

É muito comum pensarmos que, durante a cirurgia de prótese total, toda a articulação do joelho será trocada e substituida por um joelho novo, porém, na verdade, o que ocorre é que substituimos apenas as superfícies que estão desgastadas e tentamos preservar o máximo possível do joelho original.

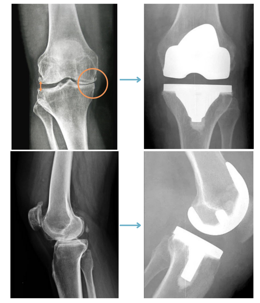
Na figura acima, podemos entender um pouco mais sobre a prótese total de joelho e seus componentes. Os implantes metálicos femoral e tibial, são fixados ao osso, através de um cimento ortopédico especial.

O que é prótese (artroplastia) total e prótese unicompartimental ou parcial de joelho?

Nós temos a prótese total do joelho, onde iremos substituir a superficie desgastada da extremidade do femur (osso da coxa), tíbia (osso da canela) e até mesmo em alguns casos a patela (ossinho da frente do joelho). Essa prótese é a mais comumente realizada e costuma ser a escolha, em desgaste mais avançados.

Já a prótese parcial ou unicompartimental, nós iremos substituir apenas um pequeno pedaço do joelho que se encontra com desgaste, sendo indicado nos casos de artrose unicompartimental (artrose restrita a apenas um pedaço do joelho). Esse tipo de prótese, é menos comumente realizada, sendo restrita a pacientes mais jovens e ativos e com desgastes pequenos e localizados.

Quando é indicado uma cirurgia de prótese de joelho?

A cirurgia é indicada em casos mais avançados de desgaste e osteoartrose de joelho, em pacientes que já realizaram o tratamento sem cirurgia por 6 a 12 meses, com fortalecimento muscular na fisioterapia, exercícios aeróbios de baixo impacto e infiltrações articulares e que mesmo assim continuam com dor e limitação importante para a locomoção.

Os critérios que tornam uma artrose mais grave e com provável indicação para a cirurgia de prótese são os seguintes:
– pernas que estão entortando cada vez mais
– joelhos rígidos e com limitação para esticar ou dobrar completamente
– dores limitantes, que prejudicam a qualidade de vida e que não melhoraram com 12 meses de fisioterapia, emagrecimento, fortalecimento, infiltrações articulares e com o uso de medicações.
– dificuldade para locomoção: andar, subir e descer escadas, ficar longos períodos em pé, levantar e sentar da cadeira.

A escolha de realizar uma cirurgia de prótese ou artroplastia de joelho, não é uma decisão fácil, e ela deve ser tomada em conjunto, entre o paciente, familiares e o cirurgião de joelho. Eu sempre brinco com os pacientes, de que o momento certo de realizar a cirurgia de prótese é quando o paciente já está cansado de sofrer e que mesmo tentando tudo o que está ao nosso alcance, as dores continuam intensas, refletindo em um prejuízo importante da qualidade de vida.

Alguns pacientes acreditam que a escolha de fazer a prótese ou não, depende da gravidade do desgaste pelo Raio-X, porém isso não é verdade. Nós não tratamos Raio-X e exames de imagem, mas sim pacientes e suas dores. O que isso significa? 

Algumas vezes vemos um Raio-X com uma artrose muito avançada a ponto de não saber como o paciente está conseguindo andar. Ao conversar com o paciente, ele pode nos relatar que está com uma qualidade de vida boa, que consegue fazer suas coisas em casa, ir no mercado, passear com a família.

Por outro lado, podemos atender um paciente que pelo Raio- X a gravidade do desgaste não está tão intensa, porém o paciente está com muitas dores, não consegue realizar suas atividades de vida diária muito menos lazer…Em uma situação dessas, mesmo que o desgaste não esteja tão grave pelo Raio-X, nós iremos optar por realizar a cirurgia de prótese no paciente que está com muitas dores e infeliz e não no paciente que está super funcional e feliz com seus joelhos, apesar de ter uma artrose avançada. 

Entenderam a mensagem?

Existe uma idade ideal para fazer a cirurgia de prótese de joelho?

Como discutido anteriormente, o momento ideal para realizar a prótese de joelho irá depender de como a vida do paciente se encontra, em termos de dor, função, mobilidade e qualidade de vida. Portanto nós não temos uma idade perfeita para indicar a cirurgia.

De maneira geral, a maioria dos pacientes que fazem a artroplastia de joelho, estão entre 55 a 80 anos de idade. Isso não significa que seja proibido realizar a prótese antes dos 55 anos ou após os 80 anos.

Algumas vezes, retardar de mais a realização da prótese, pode de certa forma, tornar o procedimento cirúrgico tecnicamente mais difícil e aumentar as chances de complicações.

A seguir temos alguns exemplos de situações que, caso esperemos muito para fazer a artroplastia, iremos de certa forma prejudicar o paciente:

– Joelho que vai ficando cada vez mais rígido e duro, com incapacidade para dobrar e esticar completamente: a cirurgia de prótese, consegue ganhar alguns graus de extensão (esticar) e flexão (dobrar) do joelho. Porém, em alguns casos, o joelho fica tão duro e travado por vários anos, que mesmo realizando a prótese, a gente não consegue recuperar esse movimento perdido. Portanto, se você tem muitas dores, já fez de tudo e seu joelho está cada vez mais duro, sem conseguir dobrar e esticar completamente, provavelmente já
está na hora de você encarar a cirurgia. 

– Pernas que vão entortando cada vez mais. É comum encontrarmos alteração no alinhamento das pernas em pacientes que possuem artrose. Muitas vezes, conforme os anos passam e a gravidade da artrose aumenta, as pernas podem entortar progressivamente. 

Qual o problema disso?

Sempre que fazemos uma prótese de joelho, o principal objetivo é realinhar as pernas, para que as mesmas fiquem retas. Quando a prótese é realizada e as pernas continuam tortas, mesmo após a cirurgia, muito provavelmente essa prótese não terá a duração máxima possível e teremos uma chance maior de que os implantes se desgastem ou se soltem. Quando a perna fica muito torta, a realização da
cirurgia e a correção do alinhamento dos membros inferiores acaba ficando muito mais desafiadora do que em casos onde as pernas ainda não estão muito tortas. 

Em alguns casos, a perna fica tão desalinhada, que para desentortar, se faz necessário o uso de próteses especiais com uma haste metálica que vai por dentro do osso, para aumentar a estabilidade e conseguir endireitar os joelhos. Essa prótese especial (prótese de revisão) possui um número maior de complicações do que a prótese convencional (prótese primaria). Portanto se suas pernas estão entortando cada vez mais, pode ser que esteja na hora de realizar a cirurgia de artroplastia.

Quanto mais torta a perna for ficando, mais difícil será para corrigirmos o alinhamento dos membros inferiores. Em deformidades extremas, igual ao paciente da direita, se faz necessário utilizar uma prótese especial com uma haste metálica que vai por dentro do osso. Esse tipo de cirurgia é mais desafiadora e pode ter mais complicações. O paciente da esquerda também possui as pernas tortas, porém em uma intensidade muito menor. No caso dele, podemos utilizar a prótese tradicional primária, que possui menos complicações, sendo uma cirurgia tecnicamente menos desafiadora.

– Pacientes que possuem algum problema de coração ou alguma outra doença sistêmica que torne a cirurgia mais arriscada: vamos imaginar um paciente de 70 anos, que possui muitas dores nos joelhos devido o quadro de artrose. Esse paciente já tentou de tudo, fisioterapia, hidroterapia, infiltrações e perdeu peso, porém sua vida ainda continua muito ruim, com dores e limitações constantes. Esse mesmo paciente teve um infarto no coração aos 65 anos e precisou fazer uma cirurgia de ponte safena, porém atualmente o problema cardíaco dele esta bem controlado. 

Pelas dores desse paciente, com certeza ele já possui indicação de fazer prótese. Será que já não seria melhor operar ele, agora aos 70
anos, enquanto o coração ainda está relativamente sobre controle, do que esperar esse mesmo paciente chegar aos 80 anos e com o coração mais fraco ainda? 

Temos que ter em mente, de que sim, a cirurgia de prótese é um procedimento de grande porte e com seus riscos, porém quando feita em
um bom hospital, com uma boa retaguarda de UTI e cardiologia, uma boa equipe de cirurgiões de joelho e anestesistas, nós minimizamos esses riscos. Não seria interessante, deixar para operar uma cirurgia de prótese muito acima dos 80 anos, especialmente se esse paciente
possui muitas outras doenças de base, especialmente as cárdiacas.

Quanto tempo dura uma prótese de joelho?

Em média uma prótese possui duração entre 15 e 25 anos. A vida útil da artroplastia irá depender de alguns fatores:

Técnica correta da cirurgia: igual falamos anteriormente, é fundamental que a cirurgia seja perfeita, para que possamos ter a maior duração possível dos implantes. Pacientes que após a cirurgia, apresentam um bom alinhamento da perna e com os implantes muito bem posicionados e fixados, irão ter uma duração maior da prótese, do que em pacientes que continuam com as pernas tortas, por exemplo.

Demanda do paciente: sabemos que pacientes mais jovens, especialmente abaixo dos 55 anos, possuem uma vida muito mais ativa e com maior demanda física. Pessoas jovens, que são extremamente ativas e que andam muito, possuem um maior risco de terem uma duração menor da prótese.

Qualidade dos implantes: hoje, através de trabalhos científicos, sabemos que a qualidade dos implantes metálicos, polietileno e do cimento ortopédico que fixa a prótese ao osso, podem interferir diretamente na vida útil da prótese de joelho.

Peso corporal do paciente: quanto mais acima do peso o paciente estiver, mais rápido a prótese irá gastar. Isso ocorre devido o estresse biomecânico gerado pelo excesso de peso, que vai soltando as peças metálicas do osso e faz com que o polietileno, também se desgaste precocemente.

Presença ou não de complicações após a cirurgia: na presença de uma infecção no pós operatório da prótese de joelho, sabemos que os implantes tendem a se soltar e o paciente voltar a sentir dor. Quanto mais impecável for a cirurgia (sem erros) e o pós operatório, maior será a duração da artroplastia.

Correto uso da prótese: infelizmente, um joelho com uma prótese, não é um joelho original de fábrica, igual Deus fez. Portanto, temos que ter em mente, que algumas atividades, especialmente as de impacto, devem ser evitadas, a fim de se evitar a soltura dos implantes e o desgaste precoce. De maneira geral, não é recomendado: correr, pular, praticar esportes de contato e com impacto.

Comprometimento do paciente com a fisioterapia e fortalecimento muscular: pessoas que possuem uma boa quantidade de músculos na coxa, terão uma prótese mais funcional e com maior vida útil.

Posso praticar esportes após a prótese de joelho?

É prudente evitar atividades esportivas de impacto como discutido anteriomente.

Algumas atividades que são compativeis com a prótese de joelho:

  • caminhada
  • musculação e treinamento funcional de baixo impacto
  • pilates
  • natação e hidroginástica
  • ciclismo
  • golfe
  • yoga
  • tênis em dupla: exige menos movimentação do que o tênis individual

Como funciona a cirurgia de prótese? Preciso ficar quantos dias no hospital? Como é a recuperação?

A maioria dos pacientes que se submetem a cirurgia de prótese de joelho, ficam internados durante três dias. A cirurgia possui duração de aproximadamente 2 horas.

O tipo de anestesia que será realizada, é escolhida de acordo com a preferência do paciente e em conjunto com a equipe médica. De maneira geral, o paciente é submetido a uma raquianestesia, que auxilia muito no controle da dor no pós operatório, junto de uma sedação, para que o mesmo não fique totalmente acordado durante o procedimento e escutando os barulhos das ferramentas do ortopedista cirurgião de joelho.

A minoria dos pacientes precisa passar uma noite na UTI, após a cirurgia. Normalmente, os pacientes que vão para a UTI, são aqueles com alguma doença de base, como problemas cardíacos ou idade muito avançada. Na UTI, o paciente será melhor assistido por uma equipe altamente treinada para enfrentar qualquer tipo de intercorrência.

Na manhã seguinte ao procedimento cirúrgico, o paciente já está apto a dar os primeiros passos com seu novo joelho, com
auxilio da equipe de fisioterapia e do andador. O paciente permanece 48 horas no hospital após a cirurgia, para podermos controlar melhor a dor pós operatória, fazer o uso do antibiótico endovenoso, a fim de se evitar infecção e já iniciar a fisioterapia ainda dentro do hospital.

As primeiras 3 a 4 semanas após o procedimento cirúrgico, costumam ser as mais doloridas e desconfortáveis ao paciente. Quando retiramos os pontos, por volta de 14 a 21 dias e termos a cicatrização completa da ferida operatória, as dores costumam melhorar muito e o paciente vai ganhando cada vez mais confiança.

Nos primeiros 21 dias após a realização da cirurgia, é importante termos alguns cuidados para se evitar complicações, como a trombose venosa profunda, utilizando as meias elásticas de compressão e fazendo o uso do anticoagulante prescrito pelo cirurgião.

É fundamental o correto cuidado com as trocas de curativo da ferida operatória até temos a completa cicatrização. Não recomendamos a utilização de cremes e pomadas, apenas soro fisiológico e sabão neutro. Duas trocas diárias de curativos já são suficientes. Em casa e em ambientes limpos, a ferida pode permanecer aberta, porém quando sair à rua ou em ambientes com potencial de contaminação, orientamos tampar a cicatriz com gazes estéreis e fita micropore ou atadura por cima.

Por volta de 30 dias após a prótese, muitas vezes os pacientes já estão andando sem muletas ou andador. O momento ideal de retirar os dispositivos auxiliares para marcha (andador, muletas e bengala) é quando o paciente já possui uma boa ativação e controle do músculo da coxa, além de um bom controle das dores. Com 2 a 3 meses de cirurgia, os pacientes já estão andando com uma certa facilidade e já
conseguem sentir na pele os benefícios da cirurgia. A partir do sexto mês, a esmagadora maioria dos pacientes já estão tão felizes, que já querem programar a operação do segundo joelho.

Quais são as complicações e riscos de uma cirurgia de prótese de joelho?

A porcentagem de complicações após a cirurgia de prótese de joelho varia de 2 a 4 %, a depender do artigo científico e literatura escolhida.

Abaixo temos as principais complicações e a porcentagem que elas representam:

  • fenômenos tromboembólicos (trombose): 0,8 – 1,8 %
  • infecção profunda, atingindo a prótese: 0,7 – 1,5 %
  • sangramento e hemorragias: 1%
  • problemas com a cicatriz e infecção superficial : 0,6 – 4 %
  • rigidez de joelho e permanência de dor residual: 15 %

O que é a cirurgia robótica de prótese (artroplastia) de joelho?

A cirurgia de prótese total de joelho, assistida pelo braço robótico MAKO Stryker é a mais recente evolução nas cirurgias de substituição articular. O robô oferece um plano cirúrgico personalizado com base na anatomia única de cada paciente.

Primeiro, é feita uma tomografia computadorizada da articulação do joelho com artrose, antes da cirurgia. Esta tomografia computadorizada é carregada no software MAKO System, onde um modelo 3D do seu joelho é criado. Este modelo 3D é usado para pré-planejar e auxiliar o cirurgião na realização da artroplastia total do joelho e também na escolha do tamanho ideal dos componentes da prótese.

Durante o procedimento, o cirurgião guia o braço robótico para remover ossos e cartilagens doentes dentro da área predefinida e o sistema MAKO ajuda o cirurgião a permanecer dentro dos limites planejados que foram definidos quando o plano pré-operatório personalizado foi criado.

É importante entender que a cirurgia é realizada por um cirurgião de joelho, que guia o braço robótico durante a cirurgia para realizar os cortes ósseos com mais precisão, permitindo um posicionamento e alinhamento adequado dos implantes na articulação do joelho. Portanto, o robô não realiza a cirurgia sozinho, e sim auxilia o cirurgião a ter mais precisão.

Perguntas Frequentes

Lorem ipsum dolor sit amet, consectetur adipiscing elit. Ut elit tellus, luctus nec ullamcorper mattis, pulvinar dapibus leo. Lorem ipsum dolor sit amet, consectetur adipiscing elit. Ut elit tellus, luctus nec ullamcorper mattis, pulvinar dapibus leo.

Lorem ipsum dolor sit amet, consectetur adipiscing elit. Ut elit tellus, luctus nec ullamcorper mattis, pulvinar dapibus leo. Lorem ipsum dolor sit amet, consectetur adipiscing elit. Ut elit tellus, luctus nec ullamcorper mattis, pulvinar dapibus leo.

Lorem ipsum dolor sit amet, consectetur adipiscing elit. Ut elit tellus, luctus nec ullamcorper mattis, pulvinar dapibus leo. Lorem ipsum dolor sit amet, consectetur adipiscing elit. Ut elit tellus, luctus nec ullamcorper mattis, pulvinar dapibus leo.

Lorem ipsum dolor sit amet, consectetur adipiscing elit. Ut elit tellus, luctus nec ullamcorper mattis, pulvinar dapibus leo. Lorem ipsum dolor sit amet, consectetur adipiscing elit. Ut elit tellus, luctus nec ullamcorper mattis, pulvinar dapibus leo.

Lorem ipsum dolor sit amet, consectetur adipiscing elit. Ut elit tellus, luctus nec ullamcorper mattis, pulvinar dapibus leo. Lorem ipsum dolor sit amet, consectetur adipiscing elit. Ut elit tellus, luctus nec ullamcorper mattis, pulvinar dapibus leo.

Lorem ipsum dolor sit amet, consectetur adipiscing elit. Ut elit tellus, luctus nec ullamcorper mattis, pulvinar dapibus leo. Lorem ipsum dolor sit amet, consectetur adipiscing elit. Ut elit tellus, luctus nec ullamcorper mattis, pulvinar dapibus leo.

Lorem ipsum dolor sit amet, consectetur adipiscing elit. Ut elit tellus, luctus nec ullamcorper mattis, pulvinar dapibus leo. Lorem ipsum dolor sit amet, consectetur adipiscing elit. Ut elit tellus, luctus nec ullamcorper mattis, pulvinar dapibus leo.

Lorem ipsum dolor sit amet, consectetur adipiscing elit. Ut elit tellus, luctus nec ullamcorper mattis, pulvinar dapibus leo. Lorem ipsum dolor sit amet, consectetur adipiscing elit. Ut elit tellus, luctus nec ullamcorper mattis, pulvinar dapibus leo.

Lorem ipsum dolor sit amet, consectetur adipiscing elit. Ut elit tellus, luctus nec ullamcorper mattis, pulvinar dapibus leo. Lorem ipsum dolor sit amet, consectetur adipiscing elit. Ut elit tellus, luctus nec ullamcorper mattis, pulvinar dapibus leo.

Lorem ipsum dolor sit amet, consectetur adipiscing elit. Ut elit tellus, luctus nec ullamcorper mattis, pulvinar dapibus leo. Lorem ipsum dolor sit amet, consectetur adipiscing elit. Ut elit tellus, luctus nec ullamcorper mattis, pulvinar dapibus leo.

Lorem ipsum dolor sit amet, consectetur adipiscing elit. Ut elit tellus, luctus nec ullamcorper mattis, pulvinar dapibus leo. Lorem ipsum dolor sit amet, consectetur adipiscing elit. Ut elit tellus, luctus nec ullamcorper mattis, pulvinar dapibus leo.

Lorem ipsum dolor sit amet, consectetur adipiscing elit. Ut elit tellus, luctus nec ullamcorper mattis, pulvinar dapibus leo. Lorem ipsum dolor sit amet, consectetur adipiscing elit. Ut elit tellus, luctus nec ullamcorper mattis, pulvinar dapibus leo.